3.13.13 Рентгенометрия
Нормальный ТБС в рентгеновском изображении
характеризуется некоторыми соотношениями и показателями. Таковых разработано
около двух десятков, однако многие из них представляют в большей степени
научное, нежели практическое значение. Обусловлено это, прежде всего тем, что
отдельные измеряемые параметры к истинным размерами или реальным образованиям
не имеет прямого отношения, вследствие суммации теней, проекционных искажений.
Думается, что в значительной степени, рассматриваемые ниже параметры,
предназначены для сравнения, чем для рентгенометрии.
Наиболее известный рентгенологический параметр ТБС —
это ШДУ. Он определяется как угол между длинной осью диафиза бедренной кости и
длинной осью ШБК. Данный угол открыт внутрь и вниз, среднее нормальное его
значение 127°. ШДУ характеризует ориентацию ШБК во фронтальной плоскости
(Рис.3.28, 3.89). Вследствие двухмерности получаемого на рентгенограмме
изображения проксимального конца бедренной кости, его вращение относительно
вертикальной оси привносит в величину ШДУ проекционное искажение. Так при
супинации бедра величина ШДУ на снимке увеличивается, а при пронации, наоборот,
уменьшается. Она достигает истинного значения в положении, когда длинная ось
диафиза бедра и ШБК оказывается лежащими в одной плоскости с кассетой. Степень
же необходимой ротации бедра в горизонтальной плоскости определить однозначно
достаточно сложно ввиду различий угла антеверзии ШБК. Поэтому измеряемый на
переднезадних рентгенограммах ТБС ШДУ, зачастую не соответствует
действительному. Решением этого вопроса может стать только полипозиционая
рентгенография, при которой выполняется серия снимков с различным углом
пронации нижней конечности.
Сложно измеряемым параметром ТБС, является величина угла антеверзии ШБК. Он представляет собой угол поворота ШБК в горизонтальной плоскости (Рис.3.89), на фронтальных рентгенограммах области ТБС его определить практически очень сложно. Однако такие попытки предпринимались, например, предложена методика вычисления угла антеверзии ориентируясь на угол между осью ШБК и диафиза бедра в двух проекция (Тиан Квин-зен, Янг Ян-мен, 1988).
Рис.3.89. Основные рентгенологические параметры нормального тазобедренного сустава, ШДУ - 126°, угол антеверзии - 12°, угол отклонения вертлужной впадины во фронтальной плоскости - 42°, результирующая сила, действующая на головку бедренной кости - 16°.
На практике о величине угла антеверзии можно судить,
прежде всего, по ШДУ и положении малого вертела. Увеличенный ШДУ, при обычном
расположении контура малого вертела, как правило, указывает на больший угол
антеверзии ШБК. В норме же контур малого вертела должен пересекаться контуром
внутренней поверхности бедренной кости. Большие размеры малого вертела на
рентгенограмме так же косвенно указывают на большой угол антеверзии и наоборот.
В отдельных случаях, прежде всего в детской практике,
значение имеет определение угла Альсберга (Alsberg). Он представляет собой угол
между продольной осью бедренной кости и направлением эпифизарной пластинки
(Рис.3.23). По данным Alsberg (1900) его величина составляет в норме 41.5°.
Согласно же значениям, которые приводит А.С.Крюк (1970), угол Альсберга
непостоянен и увеличивается с возрастом. Так у детей от 6 месяцев до двух лет
он равен 72±0.42°, а в возрасте 12–15 лет уже 64±0.64°.
В первые годы после синостоза ГБК и ШБК на границе
между ними рентгенологически обнаруживается полоска плотного костного вещества
– эпифизарный шов, который иногда сохраняется и у стариков (Дьяченко В.А.,
1954). Наличие эпифизарного шва позволяет судить о величине угла Альсберга в
период завершения синостозирования, а, следовательно, и уточнить особенности
развития бедренной кости. Угол наклона линии эпифизарного шва к горизонтали
составляет порядка 16° (Рис.3.28) (Huggler A.H., 1968).
По мнению Х.З.Гафарова и соавт. (1984) эпифизарная
пластинка проксимального конца бедренной кости перпендикулярна оси нагрузки
массы тела, проходящей через тазовые кости. В то время как А.Т.Бруско (1983)
считает, что для эпифизарного хряща этой локализации физиологической является
циклическая осевая нагрузка параллельная механической оси нижней конечности, а
одним из рентгенологических признаков правильного развития служить
равномерность его высоты.
Важное практическое значение имеет определение угла
фронтальной инклинации ВВ, иными словами угла ее разворота кпереди. Определение
величины этого угла производится по рентгенограммам, выполненным пациентам в
положении сидя, при различных направлениях хода рентгеновских лучей (Мирзоева
И.И. и соавт., 1976). По данным Н.В.Корнилова и соавт. (1997) поворот ВВ
кпереди составляет в норме 15°.
Ориентацию ВВ во фронтальной плоскости позволяет уточнить угол вертикального наклона (Рис.3.89). Первым его стал определять J.Sharp (1961) измеряя угол между горизонтальной плоскостью и плоскостью входа в ВВ. Согласно его данным, в норме угол вертикального наклона ВВ от 33 до 38°. По задним рентгенограммам данный угол определяется между линией соединяющей нижние точки «фигуры слезы» и линией проведенной от самой латеральной точки крыши ВВ до нижней точки «фигуры слезы» (Мирзоева И.И. и соавт., 1976). Необходимо отметить, что получаемое при этом значение не соответствует действительности ввиду того, что «фигура слезы» не является элементом нижнего края ВВ. Определить же нижнюю точку наружного края ВВ лежащей в одной плоскости с латеральной точкой крыши ВВ не представляется возможным из-за наличия поворота ВВ кпереди.
Рис.3.90. Угол вертикального соответствия (β).
Комбинированным показателем стабильности ТБС является угол вертикального соответствия. Он образуется касательной к входу в ВВ и продольной осью ШБК (Рис.3.90). В нормально сформированных суставах угол вертикального соответствия равен 90° (Мирзоева И.И. и соавт., 1976). Истинное соотношение между плоскостью входа в ВВ и продольной осью ШБК на переднезадних рентгенограммах уточнить невозможно. Причина все в том же, в данной проекции нижняя точка кольцевидной поверхности ВВ определена быть не может из-за наличия поворота ВВ кпереди. Кроме этого, за счет наличия угла антеверзии наблюдаемый ШДУ не является истинным. Устранить этот недостаток можно, повернув таз в сторону исследуемого сустава на угол фронтальной инклинации ВВ и расположив ШБК в плоскости параллельной кассете.
Рис.3.91. Угол горизонтального соответствия.
Взаимосвязь между антеверзией ШБК и отклонением ВВ
кпереди описывается углом горизонтального соответствия (Рис.3.91). Первым его
измерил P.LeDamany (1908), по его данным сумма углов антеверзии ШБК и
фронтальной инклинации не должна превышать 60° (Мирзоева И.И. и соавт., 1976).
Вследствие невозможности точного определения антеверзии и фронтальной
инклинации угол горизонтального соответствия является величиной приближенной,
при его вычислении только по переднезадним рентгенограммам ТБС. В данном случае
необходимо полипозиционное рентгеновское обследование.
По данным И.И.Талько, Гнатова В.И. (1989) индекс ВВ
для 3–5 лет 0.25±0.01, 8 лет и старше 0.3±0.02. Ацетабулярный угол в возрасте
3–5 лет 17±3°, угол вертикального соответствия 78.3±4.7°, а угол вертикального
отклонения 39±3.9°, который к 15-17 годам достигает 45.3±4.3°. Высота суставной
щели 6.0±0.01 мм независимо от возраста. Угол Виберга (Рис.3.92) в возрасте 3-5
лет 23±3°, у 15-17 летних субъектов 41±2°, процент же покрытия ГБК 80±0.1° и не
зависит от возраста.
Другим признаком, характеризующим нормальное соотношение в ТБС, является расположение ГБК медиальнее перпендикуляра, опущенного от наружного края ВВ (Рис.3.61) (Майкова-Строганова В.С., Рохлин Д.Г., 1957). По нашим наблюдениям на стандартных переднезадних рентгенограммах нормальных ТБС практически всегда небольшая наружная часть ГБК располагается кнаружи от линии, опущенной вертикально вниз из верхней точки наружного края ВВ. Для придания ГБК положения кнутри от означенной линии, было необходимо отведение бедра в ТБС. Данный признак находится в непосредственной зависимости от положения бедра, ШДУ и угла вертикального наклона ВВ.
Рис.3.92. Угол Виберга (АОВ).
Важным критерием правильности соотношения в суставе считается угол Виберга (G.Wiberg) получаемый при пересечении линии, идущих из центра ГБК. Одна из них проходит через латеральную точку крыши ВВ, а другая параллельна продольной оси тела (Рис.3.92). По данным G.Wiberg (1930) величина данного угла у взрослых в среднем составляет 25-35° (Мирзоева И.И. и соавт., 1976). Угол Виберга меняется в зависимости от степени наклона таза или горизонтального отклонения ВВ, поэтому его нельзя считать адекватно характеризующим соотношения в суставе.
![]() |
| а) |
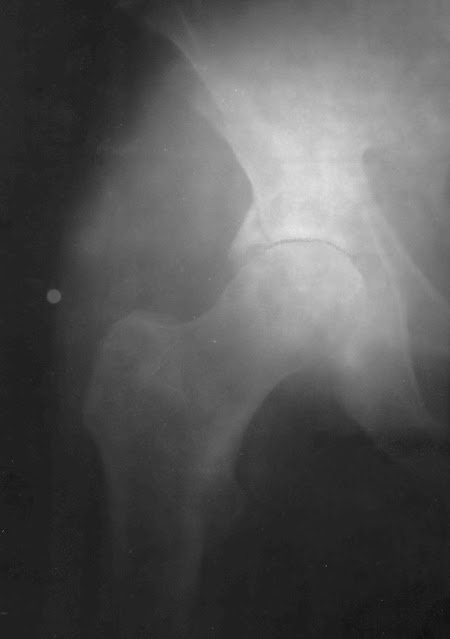
Учитывая недостатки известных параметров ТБС, была предпринята попытка разработки способа измерения реальных размеров и углов составляющих его элементов. В основу способа положена рентгенологическая масштабная метка. В качестве нее использован металлический шарик, прикрепляемый на уровне исследуемого элемента, ОДА (Рис.3.93). Применительно к ТБС шарик закреплялся лейкопластырем на уровне большого вертела бедра, то есть на уровне сустава. При этом на снимке в переднезадней проекции, наряду с суставом, латеральнее большого вертела визуализировались круглая тень. Так как диаметр металлического шарика был заранее известен, то измерение диаметра его тени на снимке позволяло вычислить коэффициент увеличения. В последующем все размеры элементов ТБС, полученные на рентгенограмме, умножались на коэффициент увеличения и вычислялись их реальные размеры. Преимущество примененного метода по отношению к известным (сетки, масштабные линейки) заключается в его простоте. Может быть использован шарик практически любого размера, размещение метки, возможно в непосредственной близости от ТБС, благодаря его форме не возникает никаких проекционных искажений способных внести ошибку в коэффициент масштабирования. Рентгенологическая масштабная метка позволяет получать реальные размеры ГБК, ЯГБК, ШБК, вертелов, глубины ЯВВ, толщины суставных хрящей и компактных пластинок, ширины основания вертлужной губы, полулунной поверхности, других образований, а также величине смещений при переломах и деформациях.
С целью упрощения определения диаметров ГБК и ВВ, а
также их центров, был выполнен прозрачный шаблон. На прозрачной плотной пленке
нарисован ряд окружностей с отверстием в центре, и шагом изменения диаметра 2
мм (Рис.3.94). Путем наложения прозрачного шаблона на рентгенограмму,
совмещении подходящей окружности с дугой ГБК, крыши ВВ, или ЯВВ через отверстие
устанавливалась точка центра ТБС и одновременно определялся диаметр окружностей
их образующих. Полученный размер множился на коэффициент масштабирования и
вычислялись истинные размеры означенных элементов. Определение центра ГБК, ВВ и
ТБС в целом позволяет уточнить ряд важных его параметров. Так проведение линии
соединяющей верхнюю точку наружного края крыши ВВ с центром ТБС позволяло
уточнить истинную величину вертикального отклонения ВВ.
![]() |
| Рис.3.94. Прозрачный шаблон для определения диаметра и центра окружностей на рентгенограмме. |
Для более быстрого определения величин углов и размеров образований в области ТБС был выполнен прозрачный транспортир, совмещенный с метрической сеткой (Рис.3.95). Он представлял собой плотную прозрачную пленку, на одной половине которой, с шагом в 2 мм из единого центра, были нарисованы две окружности диаметром 90 и 120 мм. Кроме этого, из их общего центра, с шагом 5° были нарисованы лучи по всей окружности. Для определения величины того или иного угла по рентгенограмме, с его вершиной совмещался центр прозрачного транспортира, а затем уже по количеству делений вычислялась его величина. Так, например, после уточнения локализации центра ТБС, транспортир позволяет достаточно быстро определять величину центрального угла верхнего сектора полулунной поверхности, вычислить центральный угол ЯВВ. Математическими расчетами с учетом масштаба, возможно уточнить истинную площадь ЯВВ, полулунной поверхности, суставной поверхности ГБК, ЯГБК.
Вторая часть описанного приспособления (Рис.3.95) предназначена для измерения линейных размеров и симметричности изображений на рентгенограмме. На прозрачной пленке нарисованы две сетки с шагом 5 и 10 мм. Путем наложения сетки на изображение, подсчета делений и умножения на коэффициент увеличения определялись максимально близкие к истине размеры ШБК, диафиза, вертелов, запирательных отверстий, ширины таза и других образований. Кроме этого, сетка позволяла выявить несимметричность расположения частей таза и ТБС их высоту, расстояние между ними и средней линией.
![]() |
| Рис.3.95. Прозрачный транспортир с метрической сеткой, для определения углов и размеров рентгеновских изображений. |
Таким образом, использование рентгенологической
масштабной метки, специального транспортира и прозрачных шаблонов, позволяет
уточнить реальные геометрические и угловые параметры ТБС, а также таза в целом.
Знание их важно для расчетов сил, действующих на костные образования при
эндопротезировании, подборе фиксаторов для остеосинтеза и локомоциях.
Автор:
Архипов С.В. – С.В. Архипов-Балтийский является псевдонимом, который использовался до начала 2006 года с целью более точной дифференцировки на научном поле.
Цитирование:
Архипов-Балтийский СВ. Рассуждение о морфомеханике. Норма. В 2 т. Т. 1. Гл. 1-4. - Испр. и доп. изд. Калининград, 2004. [aleph.rsl.ru]
Архипов-Балтийский СВ. Рассуждение о морфомеханике. Норма. В 2 т. Т. 2. Гл. 5-6. - Испр. и доп. изд. Калининград, 2004. [aleph.rsl.ru]
Примечания:
Первая крупная публикация автора, посвященная морфомеханике живых систем, биомеханике пояса нижних конечностей и связки головки бедра, ligamentum capitis femoris (LCF).
Ключевые слова
ligamentum capitis femoris, ligamentum teres, связка головки бедра, анатомия, морфомеханика, биомеханика
Биомеханика и морфомеханика



