Бедренная часть комбинированной механической модели тазобедренного сустава
С целью дальнейшего изучения роли связки головки бедренной кости, ligamentum capitis femoris, и биомеханики тазобедренного сустава, articulatio coxae, нами изготовлена комбинированная механическая модель правого тазобедренного сустава человека. Ее ключевыми особенностями стали: трехмерная бедренная часть, плоскостная тазовая часть и нерастяжимый аналог связки головки бедренной кости.
Бедренная часть модели закреплялась на плоском квадратном основании. Она была снабжена сферической головкой с аналогом связки головки бедренной кости (1).
Основание модели из жесткого полимера имело четыре резиновые ножки. Основой бедренной части модели явился ранее описанный однополюсной эндопротез тазобедренного сустава конструкции Томпсона (Thompson prosthesis), выполненный из нержавеющей стали (ASTM F 138). Он имел полированную пустотелую головку диаметром 54 мм, шейку эллипсовидной формы и изогнутую в плоскости ножку. Означенный эндопротез мы заключили в металлический корпус из жести, который снабдили двумя фасонными выступами. Верхний фасонный выступ имитировал большой вертел, trochanter major, нижний фасонный выступ – малый вертел, trochanter minor, бедренной кости, os femur. В медиальном секторе сферической головке выполнено два сквозных отверстия в направлении шейки, то есть изнутри-наружу, сверху-вниз (Рис. 2).
![]() |
| Рис. 2. Сферическая головка бедренной части комбинированной механической модели тазобедренного сустава человека (вид сверху с медиальной стороны). |
Вышеозначенные отверстия располагались во фронтальной плоскости одно выше другого. Они являлись аналогами разной локализации ямки головки бедренной кости, fovea capitis femoris. В зависимости от задачи эксперимента через одно из отверстий в сферической головке пропускался аналог связки головки бедренной кости. Его мы выполнили из гибкого проволочного троса диаметром 0.2 см. Он был сплетен из стальных жил и покрыт тонким слоем полимера. Дистальный конец аналога связки головки бедренной кости прикреплялся к бедренной части модели внутри ее металлического корпуса.
Нижний конец бедренной части модели соединялся с основанием посредством карданного шарнира с резьбовыми фиксаторами (Рис. 3).
![]() |
| Рис. 3. Карданное соединение бедренной части комбинированной механической модели тазобедренного сустава человека с основанием модели; вверху – вид спереди, внизу – вид с латеральной стороны. |
Для большей жесткости конструкции верхний конец бедренной части модели соединялся с основанием резьбовой шпилькой (Рис. 4).
На передней стороне металлического корпуса бедренной части модели нами прочерчена линия, обозначающая вертикальную продольная ось. На задней и передней поверхности металлического корпуса имелись резьбовые фиксаторы. Верхний и нижний фасонный выступ мы снабдили проушинами.
Бедренная часть модели соединялась с основанием таким образом, что ее сферическая головка была обращена вверх и в сторону основания, а продольная ось отклонялась в латеральную сторону во фронтальной плоскости (Рис. 5).
![]() |
| Рис. 5. Основание и бедренная часть комбинированной механической модели тазобедренного сустава человека; вверху – вид спереди, внизу – вид сзади. |
Означенное, по нашему замыслу, имитировало положение бедренной кости, os femur, при приведении в тазобедренном суставе, articulatio coxae.
Кроме этого, верхний конец бедренной части модели имел наклон вперед в сагиттальной плоскости (Рис. 6).
![]() |
| Рис. 6. Основание и бедренная часть комбинированной механической модели тазобедренного сустава человека; вверху – вид с медиальной стороны, внизу – вид с латеральной стороны. |
Указанное воспроизводило положение бедренной кости, os femur, при разгибании в тазобедренном суставе, articulatio coxae, в вертикальной позе.
В горизонтальной плоскости бедренная часть модели поворачивалась вперед на 15° (Рис. 7).
Описанное имитировало позицию бедренной кости, os femur, при супинации в тазобедренном суставе, articulatio coxae.
На аналог связки головки бедренной кости мы нанесли отметку белой краской на расстоянии 20 мм от сферической головки. С целью визуализации положения бедренной части модели и аналога связки головки бедренной кости на верхней поверхности основания располагалась масштабно-координатная сетка (Рис. 8).
![]() |
| Рис. 8. Основание и бедренная часть комбинированной механической модели тазобедренного сустава человека; на верхней поверхности основания размещена масштабно-координатная сетка (вид спереди). |
Ввиду упругости материала, из которого изготавливался аналог связки головки бедренной кости, он, выходя из отверстия в сферической головке, плавно изгибался вниз и был направлен в медиальную сторону (Рис. 9).
В отдельных экспериментах для уточнения пространственного положения элементов комбинированной механической модели тазобедренного сустава человека она дополнялась вертикально расположенными перпендикулярными друг другу плоскостями. На них канцелярскими зажимами прикреплялись масштабно-координатные сетки (Рис. 10).
![]() |
| Рис. 10. Перпендикулярные друг другу плоскости с закрепленными на них масштабно-координатными сетками. |
С учетом расположенной на основании масштабно-координатной сетки образовывалась трехмерная система для измерения линейного и углового отклонения элементов комбинированной механической модели тазобедренного сустава человека (Рис. 11).
Шаг линий масштабно-координатных сеток составил 5 мм, при необходимости более точных измерений дополнительно использовалась металлическая линейка либо профильная (миллиметровая) чертежная бумага.
Проксимальный
конец связки головки бедренной кости, ligamentum capitis femoris, человека в норме
прикрепляется в нижней части ямки вертлужной впадины, fossa acetabuli. В одноопорной ортостатической позе при
наклоне таза, pelvis, вниз в
медиальную сторону с одновременным приведением бедра, os femur, связка головки
бедренной кости, ligamentum capitis femoris, неизбежно натягивается.
В результате к проксимальному концу связки головки бедренной кости, ligamentum
capitis femoris, оказывается
приложена сила, величина которой зависит от массы тела (без учета опорной ноги)
и усилия приводящей группы мышц тазобедренного
сустава, articulatio coxae.
В ранее поставленных экспериментах на муляже таза и бедра, os femur, мы наблюдали, что при воспроизведении одноопорной ортостатической позы аналог связки головки бедренной кости стремился принять вертикальное положение. В экспериментах на трехмерной механической модели тазобедренного человека нами выявлен эффект автостабилизации, который мы трактовали как явление взаимодействия сферических поверхностей шарнира модели и натянутого аналога связки головки бедренной кости. Однако в связи с особенностями конструкции трехмерной механической модели тазобедренного человека непосредственно видеть положение аналога связки головки бедренной кости было невозможно.
Чтобы получить общее представление о примерной ориентации натянутой связки головки бедренной кости, ligamentum capitis femoris, в одноопорной ортостатической позе, нами поставлен наглядный эксперимент на вышеописанной комбинированной механической модели тазобедренного сустава человека. К проксимальному концу аналога связки головки бедренной кости прикреплялась нагрузка – два магнита общей массой приблизительно 15 г (Рис. 12).
Под действием нагрузки дистальный конец аналога связки головки бедренной кости огибал сферическую головку модели, а проксимальный конец аналога связки головки бедренной кости стремился принять вертикальное положение. В результате аналог связки головки бедренной кости приближался к медиальной поверхности сферической головке модели (Рис. 13).
Соответственно, при натяжении связки головки бедренной кости, ligamentum capitis femoris, во врем наклона таза, pelvis, вниз в медиальную сторону с одновременным приведением бедра, os femur, следует ожидать, что дистальный конец связки головки бедренной кости, ligamentum capitis femoris, может соприкасаться с головкой бедренной кости, capitis femoris. В теории это должно приводить к истиранию связки головки бедренной кости, ligamentum capitis femoris, при движениях в тазобедренном суставе, articulatio coxae, что повышает риск ее повреждения. Нашими клиническими исследованиями установлено, что именно в области дистального конца чаще всего происходит разрыв связки головки бедренной кости, ligamentum capitis femoris (Архипов С.В., 2013).
Логично предположить, что на головке бедренной кости, caput femoris, давление связки головки бедренной кости, ligamentum capitis femoris, может оставить свой след. Действительно, в литературе мы находим указания на наличие на поверхности хрящевой головки бедренной кости, caput femoris, некоторых детей продольного вдавления, в котором помещается связка головки бедренной кости, ligamentum capitis femoris (Лебедева З.А., 1948; Маркизов Ф.П., 1939). Его наличие, с нашей точки зрения, есть зримое свидетельство натяжения связка головки бедренной кости, ligamentum capitis femoris, при отдельных движениях. Действительно, если бы связка головки бедренной кости, ligamentum capitis femoris, всегда оставалась расслаблена и пассивно огибала головку бедренной кости, caput femoris, маловероятно, что на ее поверхности остался какой-либо след. В экспериментах на трехмерной механической модели тазобедренного сустава нами установлено, что натяжение связки головки бедренной кости, ligamentum capitis femoris, может возникать при приведении бедра, os femur, и наклоне таза, pelvis, вниз в медиальную сторону и при супинации, сочетающейся со сгибанием. Подмечено, что в этом случае возможно давление на головку бедренной кости, caput femoris, связки головки бедренной кости, ligamentum capitis femoris, в области дистального ее крепления. Это воздействие, с нашей точки зрения, формирует в отдельных случаях продольное углубление на поверхности хрящевой головки бедренной кости, caput femoris.
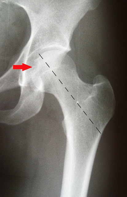
Для уменьшения вероятности истирания связки головки бедренной кости, ligamentum capitis femoris, важно, чтобы ее продольная ось имела отклонение во фронтальной плоскости и максимально возможную глубину ямки вертлужной впадины, fossa acetabuli. При натяжении связки головки бедренной кости, ligamentum capitis femoris, за счет приведения бедра, os femur, и наклона таза, pelvis, вниз в медиальную сторону, рационально расположение ямки головки бедренной кости, fovea capitis femoris, а значит, дистального конца связки головки бедренной кости, ligamentum capitis femoris, в середине либо в нижнем секторе медиальной поверхности головки бедренной кости, caput femoris. Подобное расположение ямки головки бедренной кости, fovea capitis femoris, прослеживается на рентгенограммах неизмененного тазобедренного сустава, articulatio coxae (Рис. 14).
Данная локализация прикрепления дистального конца связки головки бедренной кости, ligamentum capitis femoris, мы воспроизводили, закрепляя аналог связки головки бедренной кости в нижнем отверстии сферической головки модели (Рис. 15).
При закреплении в нижнем отверстии сферической головки модели дистального конца аналога связки головки бедренной кости последний принимал заметно более отвесное положение под действием прикрепленной нагрузки (Рис. 16).
При отклонении во фронтальной плоскости аналога связки головки бедренной кости с прикрепленной нагрузкой он стремился вновь принять отвесное положение и приближался к сферической головке модели. Означенный опыт воспроизводил изменение положения связки головки бедренной кости, ligamentum capitis femoris, при реализации выявленного нами эффекта автолатерализации в тазобедренном суставе, articulatio coxae.
После отклонения аналога связки головки бедренной кости с прикрепленной к нему нагрузкой в сагиттальной плоскости он начинал колебаться подобно маятнику (Рис. 17).
Колебательные движения, которые совершал аналог связки головки бедренной кости в сагиттальной плоскости, постепенно затухали. В итоге он принимал отвесное положение. Подобные движения совершает связка головки бедренной кости, ligamentum capitis femoris, при ходьбе. Из мы косвенно наблюдали при экспериментальном воспроизведении эффекта авторотации на трехмерной механической модели тазобедренного сустава. Однако в означенных опытах колебательные движения быстро затухали в связи с относительно большой массой тазовой части модели и наличия трения в шарнире. Сымитированные на комбинированной механической модели тазобедренного сустава человека движения аналога связки головки бедренной кости в сагиттальной плоскости напоминали колебательные движения математического маятника с верхней точкой подвеса (Рис. 18).
В начале движения груз имел наибольшую высоту над плоскостью опоры и наименьшую в положении покоя, когда колебания окончательно затухали. Мы полагаем, это является причиной реализации эффекта автостабилизации, который описали при изучении спонтанных движений тазовой части трехмерной механической модели тазобедренного сустава.
Означенные перемещения связки головки бедренной кости, ligamentum capitis femoris, сложно визуализировать в реальном тазобедренном суставе, articulatio coxae. Они могут быть зафиксированы при специальном магнитно-резонансном исследовании. На трехмерной механической модели тазобедренного сустава маятникообразные движения аналога связки головки бедренной кости нам непосредственно проследить не удалось.
Колебания аналога связки головки бедренной кости с прикрепленной нагрузкой, ставшие зримыми на комбинированной механической модели тазобедренного сустава, позволяют получить представление о перемещении связки головки бедренной кости, ligamentum capitis femoris, при ходьбе. Учитывая то, что проксимальная область крепления связки головки бедренной кости, ligamentum capitis femoris, при движениях таза, pelvis, движется по дуге, перемещении связки головки бедренной кости, ligamentum capitis femoris, скорее похожи на движения трехмерного маятника. Данные выводы можно сделать, в том числе, опираясь на эксперименты на трехмерной модели головки бедренной кости, описанные ранее.
Смотри также:
Конструкция трехмерной механической модели тазобедренного сустава
Критика
Главным недочетом описанных ранее конструкций, по нашему мнению, являлась недостаточная упругость аналогов связок. В описанной конструкции мы использовали гибкий элемент - аналог LCF, выполненный из металла и усовершенствовали способ его крепления. В норме LCF присоединяется к вертлужной впадине в нескольких точках, что нам воспроизвести не удалось. Кроме этого, основой бедренной части модели явился субтотальный эндопротез тазобедренного сустава. Мы согласны с тем, что данное медицинское изделие лишь отчасти воспроизводит проксимальный отдел нативной бедренной кости.
Примечания
Первоисточник
Архипов СВ. Биомеханика пингвинов: заметки к вопросу о причинах ковыляющей походки и перспективах ее ремоделирования во имя обретения грациозности, сочиненные врачом, к.м.н. Сергеем Васильевичем Архиповым, в бытность им с 1992-го по 2017-й год хирургом и травматологом-ортопедом, по вдохновению в 1991-ом году его сестрою Еленой Васильевной, со светлой любовью к ней и благодарностью! Манускрипт в 5 томах. Т. 3. Главы 12-16. Напечатано Автором во граде Королев при попечении его супруги Людмилы Николаевны, ММXVIII A.D. [2018], bonum factum! [на благо и счастье], 518 с. [academia.edu]
Ключевые слова
ligamentum capitis femoris, ligamentum teres, связка головки бедра, функция, эксперимент, механическая модель






























